[セラミック治療]の記事一覧 | 院長ブログ
BLOG
[セラミック治療]の記事一覧
-

2025.11/23
【症例紹介】前歯の根管トラブルと歯肉退縮を伴うケースに対して包括的治療を行った例 -

2025.05/27
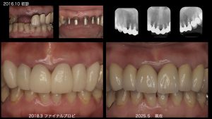
【セラミック+インプラント】歯を抜きたくない40代女性の全体的な歯科治療症例 -

2024.07/3
【セラミック+インプラント】歯を抜きたくない40代女性の全体的な歯科治療症例 -

2024.07/3
ソアビル歯科通信 2024.7月号



